Advanced Ultrasound in Diagnosis and Therapy ›› 2025, Vol. 9 ›› Issue (4): 457-466.doi: 10.26599/AUDT.2025.250105
Previous Articles Next Articles
Xiang Xia, Yang Yujiaa, Wang Liyuna, Qiu Lia,*(
)
Received:2025-10-08
Revised:2025-10-27
Accepted:2025-10-27
Online:2025-12-30
Published:2025-11-06
Contact:
Department of Medical Ultrasound, West China Hospital of Sichuan University, Chengdu, Sichuan, China (Li Qiu),e-mail: wsqiuli@vip.126.com (L Q).,
Xiang Xi, Yang Yujia, Wang Liyun, Qiu Li. Advances and Applications in Dermatological Ultrasound. Advanced Ultrasound in Diagnosis and Therapy, 2025, 9(4): 457-466.
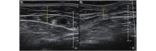
Figure 3
Clinical [47] and ultrasound manifestations of port-wine stains. (A) Pink type of PWS; (B) Purple type of PWS; (C) Thickening type of PWS; (D) Comparison of gray-scale ultrasound between the PWS lesion and the healthy side; (E) The blood flow signal at the lesion site of PWS increases."
| [1] | Roșca AM , Coman SA , Costache AC , Costache DO . The role of ultrasonography in dermatology. R. J. Mil. Med 2025; 128: 107-111 |
| [2] |
Wortsman X . Top applications of dermatologic ultrasonography that can modify management. Ultrasonography 2023; 42: 183-202.
doi: 10.14366/usg.22130 |
| [3] |
Almuhanna N , Wortsman X , Wohlmuth-Wieser I , Kinoshita-Ise M , Alhusayen R . Overview of ultrasound imaging applications in dermatology. J Cutan Med Surg 2021; 25: 521-529.
doi: 10.1177/1203475421999326 |
| [4] |
Song RH , Chen SJ . Diagnostic use of high-frequency ultrasound in differentiating benign and malignant pigmented skin lesions. J Multidiscip Healthc 2025; 18: 4523-4534.
doi: 10.2147/JMDH.S530251 |
| [5] |
Naredo E , Pascau J , Damjanov N , Lepri G , Gordaliza PM , Janta I , et al . Performance of ultra-high-frequency ultrasound in the evaluation of skin involvement in systemic sclerosis: a preliminary report. Rheumatology (Oxford) 2020; 59: 1671-1678.
doi: 10.1093/rheumatology/kez439 |
| [6] | Rallan D , Harland CC . Ultrasound in dermatology——basic principles and applications. Clin Exp Dermatol 2003, 28:632-638. |
| [7] |
Kleinerman R , Whang TB , Bard RL , Marmur ES . Ultrasound in dermatology: principles and applications. J Am Acad Dermatol 2012; 67: 478-487.
doi: 10.1016/j.jaad.2011.12.016 |
| [8] |
Marmur ES , Berkowitz EZ , Fuchs BS , Singer GK , Yoo JY . Use of high-frequency, high-resolution ultrasound before Mohs surgery. Dermatol Surg 2010; 36: 841-7.
doi: 10.1111/j.1524-4725.2010.01558.x |
| [9] |
Alfageme F , Wortsman X , Catalano O , Roustan G , Crisan M , Crisan D , et al . European Federation of Societies for Ultrasound in Medicine and Biology (EFSUMB) position statement on dermatologic ultrasound. Ultraschall Med 2021; 42: 39-47.
doi: 10.1055/a-1161-8872 |
| [10] |
Liu ZF , Chew CY , Honavar S , Maxwell A , Sylivris A , Sheridan A . Seeing beyond skin deep: High-resolution ultrasound in dermatology-A comprehensive review and future prospects. J Eur Acad Dermatol Venereol 2024; 38: 1305-1313.
doi: 10.1111/jdv.19939 |
| [11] | Crisan D , Wortsman X , Alfageme F , Catalano O , Badea A , Scharffetter-Kochanek K , Sindrilaru A , Crisan M . Ultrasonography in dermatologic surgery: revealing the unseen for improved surgical planning. J Dtsch Dermatol Ges 2022; 20: 913-926 |
| [12] |
Alfageme Roldan F . Ultrasound skin imaging. Actas dermo-sifiliograficas 2014; 105: 891-899.
doi: 10.1016/j.ad.2013.11.015 |
| [13] |
Wortsman X . Frequent applications of color Doppler ultrasound in dermatology that support diagnosis and management. Revista Medica Clinica Las Condes 2023; 34: 137-148.
doi: 10.1016/j.rmclc.2023.02.005 |
| [14] |
Yang Y , Qiu L , Wang L , Xiang X , Tang Y , Li H , Yan F . Quantitative assessment of skin stiffness using ultrasound shear wave elastography in systemic sclerosis. Ultrasound Med Biol 2019; 45: 902-912.
doi: 10.1016/j.ultrasmedbio.2018.11.015 |
| [15] | Yang Y , Yan F , Wang L , Xiang X , Tang Y , Li Q , Xiaoyan L . Quantification of skin stiffness in patients with systemic sclerosis using real-time shear wave elastography: a preliminary study. Clin Exp Rheumatol 2018; 36: 118-125 |
| [16] |
Kinoshita-Ise M , Ida T , Iwasaki T , Iwazaki H , Yokota K , Taguchi H , et al . Validity and advantages of three-dimensional high-frequency ultrasound in dermatological evaluation. Diagnostics (Basel) 2025; 15: 223.
doi: 10.3390/diagnostics15020223 |
| [17] |
Al-Jumaily AM , Liaquat H , Paul S . Focused ultrasound for dermal applications. Ultrasound Med Biol 2024; 50: 8-17.
doi: 10.1016/j.ultrasmedbio.2023.09.004 |
| [18] |
Yu S , Peng H , Yang X , Ma S , Yu J , Zuo D , et al . The diagnostic value and clinical relevance of high frequency ultrasound and shear wave elastography in systemic sclerosis: an observational monocentric study. Clin Rheumatol 2024; 43: 3759-3769.
doi: 10.1007/s10067-024-07145-6 |
| [19] |
Etesami I , Azizi N , Sabrinejad R , Montazeri S , Kamyab K , Nasimi M , et al . Sonographic skin features and shear wave elastography in distinguishing active from inactive morphea lesions: A case-control study. J Am Acad Dermatol 2025; 92: 155-157.
doi: 10.1016/j.jaad.2024.09.026 |
| [20] |
Lis-Święty A , Janicka I , Skrzypek-Salamon A , Brzezińska-Wcisło L . A systematic review of tools for determining activity of localized scleroderma in paediatric and adult patients. J Eur Acad Dermatol Venereol 2017; 31: 30-37.
doi: 10.1111/jdv.13790 |
| [21] | Di Battista M, Barsotti S, Vitali S, Palma M, Granieri G, et al. Multiparametric skin assessment in a monocentric cohort of systemic sclerosis patients: is there a role for ultra-high frequency ultrasound? Diagnostics (Basel) 2023, 13:1495. |
| [22] |
Yazdanparast T , Mohseni A , Dehghan KS , Delavar S , Firooz A . High-frequency ultrasound evaluation of morphea: retrospective analytical study. Skin Res Technol 2024; 30: e13818.
doi: 10.1111/srt.13818 |
| [23] |
Khorasanizadeh F , Kalantari Y , Etesami I . Role of imaging in morphea assessment: a review of the literature. Skin Res Technol 2023; 29: e13410.
doi: 10.1111/srt.13410 |
| [24] |
Jasionyte G , Seskute G , Rugiene R , Butrimiene I . Assessing scleroderma patterns with superb microvascular imaging: is it possible? New prospects for ultrasound. Clin Rheumatol 2023; 42: 301-306.
doi: 10.1007/s10067-022-06405-7 |
| [25] |
Pain CE , Murray A , Dinsdale G , Marsden A , Manning J , Riley P , et al . Non-invasive imaging and clinical skin scores in juvenile localized scleroderma. Rheumatology (Oxford) 2024; 63: 1332-1340.
doi: 10.1093/rheumatology/kead380 |
| [26] |
Sobolewski P , Maślińska M , Zakrzewski J , Paluch Ł , Szymańska E , Walecka I . Applicability of shear wave elastography for the evaluation of skin strain in systemic sclerosis. Rheumatol Int 2020; 40: 737-745.
doi: 10.1007/s00296-020-04539-y |
| [27] |
Sobolewski P , Dźwigała M , Zakrzewski J , Paluch Ł , Bogucki J , Szymañska E , et al . Elastography as a possible useful method of assessment of skin involvement in systemic sclerosis. Postepy Dermatol Alergol 2022; 39: 775-781.
doi: 10.5114/ada.2021.109503 |
| [28] | Tang X , Yang Y , Zhong L , Zhang L , Tang Y , Wang Y , et al . Shear wave elastography-derived scoring system: application in the detection, subdivision and evaluation of systemic sclerosis. Clin Exp Rheumatol 2024; 42: 1598-1605 |
| [29] |
Chen C , Cheng Y , Zhu X , Cai Y , Xue Y , Kong N , et al . Ultrasound assessment of skin thickness and stiffness: the correlation with histology and clinical score in systemic sclerosis. Arthritis Res Ther 2020; 22: 197.
doi: 10.1186/s13075-020-02285-x |
| [30] |
Palici C , Ciurea PL , Bita CE , Barbulescu AL , Florescu A , Musetescu AE , et al . Skin ultrasound assessment of patients with systemic scleroderma-an observational study. J Pers Med 2024; 14: 734.
doi: 10.3390/jpm14070734 |
| [31] |
Tumsatan P , Uscharapong M , Srinakarin J , Nanagara R , Khunkitti W . Role of shear wave elastography ultrasound in patients with systemic sclerosis. J Ultrasound 2022; 25: 635-643.
doi: 10.1007/s40477-021-00637-0 |
| [32] |
Wang L , Yan F , Yang Y , Xiang X , Qiu L . Quantitative assessment of skin stiffness in localized scleroderma using ultrasound shear-wave elastography. Ultrasound Med Biol 2017; 43: 1339-1347.
doi: 10.1016/j.ultrasmedbio.2017.02.009 |
| [33] |
Wang Y , Shan JL , Chen HY , Wu ZF . Comparison of 2-D shear wave elastography with clinical score in localized scleroderma: A new method to increase the diagnostic accuracy. J Dermatol 2019; 46: 131-138.
doi: 10.1111/1346-8138.14713 |
| [34] |
Zhang X , Zhou B , Osborn T . Ultrasound surface wave elastography for assessing scleroderma. Ultrasound Med Biol 2020; 46: 1263-1269.
doi: 10.1016/j.ultrasmedbio.2020.01.021 |
| [35] |
Aly OM , Kafaja KL , Suliman YA , Furst DE . Examination of the validity of skin ultrasound to quantitate skin involvement for multicenter clinical trials in patients with systemic sclerosis (SSC): a systematic literature review (SLR). ACR Open Rheumatol 2022; 4: 247-253.
doi: 10.1002/acr2.11357 |
| [36] | Jia K , Li H , Wu X , Xu C , Xue H . The value of high-resolution ultrasound combined with shear-wave elastography under artificial intelligence algorithm in quantitative evaluation of skin thickness in localized scleroderma. Comput Intell Neurosci 2022; 2022: 1613783 |
| [37] |
Hong DR , Huang CY , Xu ZH . Evaluating skin involvement in systemic sclerosis using high-frequency ultrasound and virtual touch tissue imaging. Ultrasound Med Biol 2024; 50: 536-539.
doi: 10.1016/j.ultrasmedbio.2023.12.017 |
| [38] |
Chen X , Zhou L , Xia Y , Wong YN , He Q , Tang P , et al . Superb microvascular imaging for evaluating the activity of juvenile localised scleroderma: a preliminary study. Eur Radiol 2024; 34: 6376-6383.
doi: 10.1007/s00330-024-10738-z |
| [39] |
Negruțiu M , Danescu S , Popa T , Baican A . Ultrasound in non-tumoral pathology of the skin. Med Ultrason 2023; 25: 330-339.
doi: 10.11152/mu-3929 |
| [40] |
Odrzywolek W , Deda A , Zdrada J , Wcislo-Dziadecka D , Lipka-Trawinska A , Blonska-Fajfrowska B , et al . Assessment of psoriatic skin features using non-invasive imaging technique. Processes 2022; 10: 985.
doi: 10.3390/pr10050985 |
| [41] | Grajdeanu IA , Statescu L , Vata D , Popescu IA , Porumb-Andrese E , Patrascu AI . Imaging techniques in the diagnosis and monitoring of psoriasis. Exp Ther Med 2019; 18: 4974-4980 |
| [42] |
Gutierrez M , Wortsman X , Filippucci E , De Angelis R , Filosa G , Grassi W . High-frequency sonography in the evaluation of psoriasis: nail and skin involvement. J Ultrasound Med 2009; 28: 1569-1574.
doi: 10.7863/jum.2009.28.11.1569 |
| [43] |
Negrutiu M , Danescu S , Popa T , Focsan M , Vesa SC , Szasz F , Baican A . Imaging approach in the diagnostics and evaluation of the psoriasis plaque: a preliminary study and literature review. Diagnostics (Basel) 2024; 14: 969.
doi: 10.3390/diagnostics14100969 |
| [44] |
Tang Y , Cheng S , Tang X , Guo R , Zhang L , Qiu L . Quantification of skin lesions using high-frequency ultrasound and shear wave elastography in port-wine stain patients: a clinical study. Ann Transl Med 2019; 7: 803.
doi: 10.21037/atm.2019.12.57 |
| [45] |
Argalia G , Reginelli A , Molinelli E , Russo A , Michelucci A , Sechi A , et al . High-frequency and ultra-high-frequency ultrasound in dermatologic diseases and aesthetic medicine. Medicina (Kaunas) 2025; 61: 220.
doi: 10.3390/medicina61020220 |
| [46] |
Xiang X , Yan F , Yang Y , Tang Y , Wang L , Zeng J , et al . Quantitative assessment of healthy skin elasticity: reliability and feasibility of shear wave elastography. Ultrasound Med Biol 2017; 43: 445-452.
doi: 10.1016/j.ultrasmedbio.2016.10.002 |
| [47] | Xiang Xi , Zhang Lingyan , Zhong Lin , Gao Yi , Qiu Li . Multimodal ultrasound manifestations of port-wine stains and their application in efficacy assessment of photodynamic therapy. Chinese Journal of Dermatology 2024; 57: 801-806 |
| [48] |
Zhu AQ , Chen XW , Xu WC , Gao YC , Liu J , Lin RY , et al . Value of diagnosis and management for skin lesions by integration of high-frequency ultrasound in daily practices: a prospective study. Dermatology 2025; 241: 336-343.
doi: 10.1159/000546224 |
| [49] |
Rodriguez O , Noe MH , Sehgal C , Schultz S , Rosenbach M . Quantification of granuloma volume and response to treatment in cutaneous sarcoidosis using 3-dimensional high-frequency ultrasound scan. JAAD Case Rep 2017; 3: 522-523.
doi: 10.1016/j.jdcr.2017.09.008 |
| [50] |
Hobayan CGP , Gray AN , Waters MF , Mager LA , Kobayashi S , Essien EW , et al . Diagnostic accuracy of high-frequency ultrasound for cutaneous neoplasms: a narrative review of the literature. Arch Dermatol Res 2024; 316: 419.
doi: 10.1007/s00403-024-03179-7 |
| [51] |
Won KY , Park SY , Jin W , Lew BL . Dermatofibroma: sonographic findings and pathologic correlation. Acta Radiol 2018; 59: 454-459.
doi: 10.1177/0284185117721263 |
| [52] |
Dong B , Xia H , Liu Y , Tao H , Xia Y , Zhu F . Evaluation of very-high-frequency ultrasound imaging characteristics of dermatofibroma. Clin Cosmet Investig Dermatol 2024; 17: 2795-2802.
doi: 10.2147/CCID.S493437 |
| [53] |
Schneider SL , Kohli I , Hamzavi IH , Council ML , Rossi AM , Ozog DM . Emerging imaging technologies in dermatology: Part II: Applications and limitations. J Am Acad Dermatol 2019; 80: 1121-1131.
doi: 10.1016/j.jaad.2018.11.043 |
| [54] |
Khlebnikova AN , Molochkov VA , Selezneva EV , Belova LA , Bezugly A , Molochkov AV . Ultrasonographic features of superficial and nodular basal cell carcinoma. Med Ultrason 2018; 20: 475-479.
doi: 10.11152/mu-1633 |
| [55] |
Parashar K , Torres AE , Boothby-Shoemaker W , Kohli I , Veenstra J , Neel V , Ozog DM . Imaging technologies for presurgical margin assessment of basal cell carcinoma. J Am Acad Dermatol 2023; 88: 144-151.
doi: 10.1016/j.jaad.2021.11.010 |
| [56] | Basra M , Shapiro L , Patel H , Payne C , Brazen B , Biglione A . Exploring the utilization of imaging modalities in the diagnosis of basal cell carcinoma: a scoping review. Cureus 2024; 16: e56047 |
| [57] |
Russo GM , Russo A , Urraro F , Cioce F , Gallo L , Belfiore MP , et al . Management of non-melanoma skin cancer: radiologists challenging and risk assessment. Diagnostics (Basel) 2023; 13: 793.
doi: 10.3390/diagnostics13040793 |
| [58] |
Ricci V , Ricci C , Gervasoni F , Giulio C , Farì G , Andreoli A , Özçakar L . From physical to ultrasound examination in lymphedema: a novel dynamic approach. J Ultrasound 2022; 25: 757-763.
doi: 10.1007/s40477-021-00633-4 |
| [59] |
Meikle B , Simons M , Mahoney T , Reddan T , Dai B , Kimble RM , et al . Ultrasound measurement of traumatic scar and skin thickness: a scoping review of evidence across the translational pipeline of research-to-practice. BMJ Open 2024; 14: e078361.
doi: 10.1136/bmjopen-2023-078361 |
| [60] |
Ricci V , Cocco G , Donati D , Farì G , Chang KV , Özçakar L . From histopathology to high-resolution ultrasound imaging of skin scars. Diagnostics (Basel) 2023; 13: 3629.
doi: 10.3390/diagnostics13243629 |
| [61] |
Guo R , Xiang X , Wang L , Zhu B , Cheng S , Qiu L . Quantitative assessment of keloids using ultrasound shear wave elastography. Ultrasound Med Biol 2020; 46: 1169-1178.
doi: 10.1016/j.ultrasmedbio.2020.01.010 |
| [62] |
Tao Y , Wei C , Su Y , Hu B , Sun D . Emerging high-frequency ultrasound imaging in medical cosmetology. Front Physiol 2022; 13: 885922.
doi: 10.3389/fphys.2022.885922 |
| [63] | Cavallieri FA , Balassiano LKA , Munhoz G , Tembra MF , Wortsman X . Ultrasound in aesthetics: filler and non-filler applications. Semin Ultrasound CT MR 2024; 45: 251-263 |
| [64] |
Vergilio MM , Monteiro E Silva SA , Jales RM , Leonardi GR . High-frequency ultrasound as a scientific tool for skin imaging analysis. Exp Dermatol 2021; 30: 897-910.
doi: 10.1111/exd.14363 |
| [65] |
Vergilio MM , Vasques LI , Leonardi GR . Characterization of skin aging through high-frequency ultrasound imaging as a technique for evaluating the effectiveness of anti-aging products and procedures: A review. Skin Res Technol 2021; 27: 966-973.
doi: 10.1111/srt.13033 |
| [66] |
Czajkowska J , Juszczyk J , Bugdol MN , Glenc-Ambroży M , Polak A , Piejko L , Pietka E . High-frequency ultrasound in anti-aging skin therapy monitoring. Sci Rep 2023; 13: 17799.
doi: 10.1038/s41598-023-45126-y |
| [67] | Pequeno ALV , Bagatin E . Dermatological ultrasound in assessing skin aging. Front Med (Lausanne) 2024; 11: 1353605 |
| [68] | Bagatin E , de Vasconcelos Nasser Caetano L and Soares J. L. M . Ultrasound and dermatology: basic principles and main applications in dermatologic research. Expert Review of Dermatology 2013; 8: 463-477 |
| [69] |
Teng F , Huang D , Cui H . Preliminary study on assessing skin changes in Henoch-Schönlein purpura patients using high-frequency ultrasound and shear wave elastograph. Arch Dermatol Res 2025; 317: 541.
doi: 10.1007/s00403-025-04002-7 |
| [70] | Granieri G , Michelucci A , Cei B , Janowska A , Morganti R , Romanelli M , et al. Ultra-high frequency ultrasound (uhfus) features of pyoderma gangrenosum, venous leg ulcers, and acute ulcerative lesions. Int J Low Extrem Wounds 2025, 15347346251324503. |
| [71] |
Faita F , Oranges T , Di Lascio N , Ciompi F , Vitali S , Aringhieri G , et al . Ultra-high-frequency ultrasound and machine learning approaches for the differential diagnosis of melanocytic lesions. Exp Dermatol 2022; 31: 94-98.
doi: 10.1111/exd.14330 |
| [72] |
Czajkowska J , Polańska A , Slian A , Dańczak-Pazdrowska A . The usefulness of automated high frequency ultrasound image analysis in atopic dermatitis staging. Sci Rep 2025; 15: 163.
doi: 10.1038/s41598-024-84051-6 |
| [73] |
Boussingault L , Jazaeri Y , Sanak D , Bernardi D , Trépant AL , Cinotti E , et al . Multimodal skin imaging of a dermatofibrosarcoma protuberans using line-field confocal optical coherence tomography, ultra-high frequency ultrasound and reflectance confocal microscopy. Clin Exp Dermatol 2025; 50: 1224-1226.
doi: 10.1093/ced/llae543 |
| [74] |
Fedorov Kukk A , Wu D , Gaffal E , Panzer R , Emmert S , Roth B . Multimodal system for optical biopsy of melanoma with integrated ultrasound, optical coherence tomography and Raman spectroscopy. J Biophotonics 2022; 15: e202200129.
doi: 10.1002/jbio.202200129 |
| [75] | Liu P , Zhu JY , Tang B , Hu ZC . Three-dimensional digital reconstruction of skin epidermis and dermis. J Microsc 2018; 270: 170-175 |
| [76] |
Kim M , Han JH , Ahn J , Kim E , Bang CH , Kim C , et al . In vivo 3D photoacoustic and ultrasound analysis of hypopigmented skin lesions: A pilot study. Photoacoustics 2025; 43: 100705.
doi: 10.1016/j.pacs.2025.100705 |
| [1] | Zhong Xian, Xie Xiaoyan. Multimodal Ultrasound Radiomics in Liver Disease: Current Status and Future Directions [J]. Advanced Ultrasound in Diagnosis and Therapy, 2025, 9(4): 388-408. |
| [2] | Sekarsari Damayanti, Gema Ramadhan Muhammad, Rinaldhy Kshetra, Prihartono Joedo. Biliary Atresia Treatment: Can Shear Wave Elastography Predict Kasai Procedure Outcomes? [J]. Advanced Ultrasound in Diagnosis and Therapy, 2025, 9(1): 84-91. |
| [3] | Yue Tian, MB, Yanan Zhao, MD, Yiran Huang, MB. The Diagnostic Value of Real-time Shear Wave Ultrasound Elastography in the Differentiation of Hepatic Hemangioma and Hepatocellular Carcinoma [J]. Advanced Ultrasound in Diagnosis and Therapy, 2024, 8(3): 124-129. |
| [4] | Liyun Xue, PhD, Hui Feng, MD, Fankun Meng, MD, Ying Zheng, MD, Guangwen Cheng, PhD, Yao Zhang, MD, Zhiyong Yin, MD, Jing Wu, MD, Jiabao Zhu, MD, Xueqi Li, MD, Jie Yu, PhD, Ping Liang, PhD, Hong Ding, PhD. Ultrasound-based Dual Elastography for Evaluating the Severity of Drug-induced Liver Injury: One Step Closer to Pathology [J]. Advanced Ultrasound in Diagnosis and Therapy, 2024, 8(3): 106-115. |
| [5] | Mingzhu Zhang, MD, Zhaoyan Ding, MD, Xiaoyan Niu, MD, Yuxiu Gao, MD, Cheng Zhao, MD. Ultrasound Elastography in Liver Tissue: Current Status [J]. Advanced Ultrasound in Diagnosis and Therapy, 2021, 5(3): 197-203. |
| Viewed | ||||||
|
Full text |
|
|||||
|
Abstract |
|
|||||
Share: WeChat
Copyright ©2018 Advanced Ultrasound in Diagnosis and Therapy
|
Advanced Ultrasound in Diagnosis and Therapy (AUDT) a>
is licensed under a Creative Commons Attribution 4.0 International License a>.
